Mouse Model Breast Cancer Metastasis . the development of various genetically engineered mouse models (gemms) has been instrumental in. here we give a progress report on how mouse models have contributed to our understanding of the molecular processes. two common mouse models mimic breast cancer lung colonization and distal metastasis: various breast cancer spontaneous metastasis mouse models have been established. emerging data have suggested that animal models are a good system to investigate this communication. here we describe the currently employed mouse models of breast cancer.
from www.researchgate.net
here we give a progress report on how mouse models have contributed to our understanding of the molecular processes. here we describe the currently employed mouse models of breast cancer. emerging data have suggested that animal models are a good system to investigate this communication. various breast cancer spontaneous metastasis mouse models have been established. two common mouse models mimic breast cancer lung colonization and distal metastasis: the development of various genetically engineered mouse models (gemms) has been instrumental in.
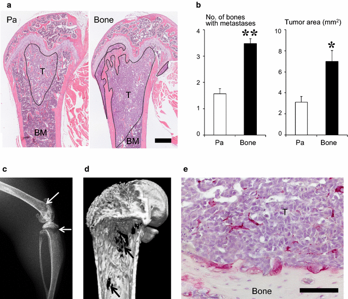
Representative histopathological images of breast cancer metastases in
Mouse Model Breast Cancer Metastasis here we give a progress report on how mouse models have contributed to our understanding of the molecular processes. here we describe the currently employed mouse models of breast cancer. here we give a progress report on how mouse models have contributed to our understanding of the molecular processes. emerging data have suggested that animal models are a good system to investigate this communication. two common mouse models mimic breast cancer lung colonization and distal metastasis: the development of various genetically engineered mouse models (gemms) has been instrumental in. various breast cancer spontaneous metastasis mouse models have been established.
From cekuvxnq.blob.core.windows.net
Mouse Model Breast Cancer at William Chapman blog Mouse Model Breast Cancer Metastasis the development of various genetically engineered mouse models (gemms) has been instrumental in. emerging data have suggested that animal models are a good system to investigate this communication. two common mouse models mimic breast cancer lung colonization and distal metastasis: various breast cancer spontaneous metastasis mouse models have been established. here we describe the currently. Mouse Model Breast Cancer Metastasis.
From www.researchgate.net
ISL inhibited breast cancer growth and lung metastasis in MMTVPyMT Mouse Model Breast Cancer Metastasis the development of various genetically engineered mouse models (gemms) has been instrumental in. two common mouse models mimic breast cancer lung colonization and distal metastasis: here we describe the currently employed mouse models of breast cancer. various breast cancer spontaneous metastasis mouse models have been established. here we give a progress report on how mouse. Mouse Model Breast Cancer Metastasis.
From www.jci.org
JCI ATP11B inhibits breast cancer metastasis in a mouse model by Mouse Model Breast Cancer Metastasis two common mouse models mimic breast cancer lung colonization and distal metastasis: the development of various genetically engineered mouse models (gemms) has been instrumental in. various breast cancer spontaneous metastasis mouse models have been established. emerging data have suggested that animal models are a good system to investigate this communication. here we describe the currently. Mouse Model Breast Cancer Metastasis.
From blog.crownbio.com
Recapitulating Clinical Metastatic Events in Preclinical Mouse Models Mouse Model Breast Cancer Metastasis two common mouse models mimic breast cancer lung colonization and distal metastasis: emerging data have suggested that animal models are a good system to investigate this communication. here we give a progress report on how mouse models have contributed to our understanding of the molecular processes. here we describe the currently employed mouse models of breast. Mouse Model Breast Cancer Metastasis.
From ar.iiarjournals.org
Intraductal Adaptation of the 4T1 Mouse Model of Breast Cancer Reveals Mouse Model Breast Cancer Metastasis two common mouse models mimic breast cancer lung colonization and distal metastasis: here we describe the currently employed mouse models of breast cancer. various breast cancer spontaneous metastasis mouse models have been established. here we give a progress report on how mouse models have contributed to our understanding of the molecular processes. emerging data have. Mouse Model Breast Cancer Metastasis.
From www.researchgate.net
Breast cancer xenografts were established in mice by subcutaneous Mouse Model Breast Cancer Metastasis the development of various genetically engineered mouse models (gemms) has been instrumental in. various breast cancer spontaneous metastasis mouse models have been established. here we give a progress report on how mouse models have contributed to our understanding of the molecular processes. two common mouse models mimic breast cancer lung colonization and distal metastasis: emerging. Mouse Model Breast Cancer Metastasis.
From ar.iiarjournals.org
Intraductal Adaptation of the 4T1 Mouse Model of Breast Cancer Reveals Mouse Model Breast Cancer Metastasis the development of various genetically engineered mouse models (gemms) has been instrumental in. two common mouse models mimic breast cancer lung colonization and distal metastasis: various breast cancer spontaneous metastasis mouse models have been established. here we give a progress report on how mouse models have contributed to our understanding of the molecular processes. here. Mouse Model Breast Cancer Metastasis.
From www.pnas.org
Intraductal administration of transferrin receptortargeted immunotoxin Mouse Model Breast Cancer Metastasis the development of various genetically engineered mouse models (gemms) has been instrumental in. here we give a progress report on how mouse models have contributed to our understanding of the molecular processes. two common mouse models mimic breast cancer lung colonization and distal metastasis: here we describe the currently employed mouse models of breast cancer. . Mouse Model Breast Cancer Metastasis.
From www.researchgate.net
Generation of a mouse model of spontaneous breast cancer bone Mouse Model Breast Cancer Metastasis the development of various genetically engineered mouse models (gemms) has been instrumental in. two common mouse models mimic breast cancer lung colonization and distal metastasis: various breast cancer spontaneous metastasis mouse models have been established. here we describe the currently employed mouse models of breast cancer. emerging data have suggested that animal models are a. Mouse Model Breast Cancer Metastasis.
From www.pnas.org
In vivo selection for metastasis promoting genes in the mouse PNAS Mouse Model Breast Cancer Metastasis the development of various genetically engineered mouse models (gemms) has been instrumental in. here we give a progress report on how mouse models have contributed to our understanding of the molecular processes. emerging data have suggested that animal models are a good system to investigate this communication. here we describe the currently employed mouse models of. Mouse Model Breast Cancer Metastasis.
From link.springer.com
Establishment and characterization of a C57BL/6 mouse model of bone Mouse Model Breast Cancer Metastasis two common mouse models mimic breast cancer lung colonization and distal metastasis: the development of various genetically engineered mouse models (gemms) has been instrumental in. various breast cancer spontaneous metastasis mouse models have been established. emerging data have suggested that animal models are a good system to investigate this communication. here we give a progress. Mouse Model Breast Cancer Metastasis.
From www.mdpi.com
Biomedicines Free FullText Preclinical Models of Brain Metastases Mouse Model Breast Cancer Metastasis here we give a progress report on how mouse models have contributed to our understanding of the molecular processes. emerging data have suggested that animal models are a good system to investigate this communication. various breast cancer spontaneous metastasis mouse models have been established. the development of various genetically engineered mouse models (gemms) has been instrumental. Mouse Model Breast Cancer Metastasis.
From www.researchgate.net
Mouse model for breast cancer metastasis to brain and therapeutic Mouse Model Breast Cancer Metastasis various breast cancer spontaneous metastasis mouse models have been established. here we give a progress report on how mouse models have contributed to our understanding of the molecular processes. emerging data have suggested that animal models are a good system to investigate this communication. the development of various genetically engineered mouse models (gemms) has been instrumental. Mouse Model Breast Cancer Metastasis.
From www.researchgate.net
(PDF) Initiation of Metastatic Breast Carcinoma by Targeting of the Mouse Model Breast Cancer Metastasis here we give a progress report on how mouse models have contributed to our understanding of the molecular processes. two common mouse models mimic breast cancer lung colonization and distal metastasis: various breast cancer spontaneous metastasis mouse models have been established. emerging data have suggested that animal models are a good system to investigate this communication.. Mouse Model Breast Cancer Metastasis.
From www.researchgate.net
CXCR7 promotes breast cancer metastasis. Lungs were removed from mice Mouse Model Breast Cancer Metastasis various breast cancer spontaneous metastasis mouse models have been established. here we describe the currently employed mouse models of breast cancer. two common mouse models mimic breast cancer lung colonization and distal metastasis: here we give a progress report on how mouse models have contributed to our understanding of the molecular processes. emerging data have. Mouse Model Breast Cancer Metastasis.
From www.researchgate.net
FBXL10 enhanced the metastasis of breast cancer cells in mouse model. A Mouse Model Breast Cancer Metastasis various breast cancer spontaneous metastasis mouse models have been established. emerging data have suggested that animal models are a good system to investigate this communication. the development of various genetically engineered mouse models (gemms) has been instrumental in. two common mouse models mimic breast cancer lung colonization and distal metastasis: here we describe the currently. Mouse Model Breast Cancer Metastasis.
From www.spandidos-publications.com
Synergistic antitumor effects of dasatinib and dendritic cell vaccine Mouse Model Breast Cancer Metastasis two common mouse models mimic breast cancer lung colonization and distal metastasis: emerging data have suggested that animal models are a good system to investigate this communication. the development of various genetically engineered mouse models (gemms) has been instrumental in. various breast cancer spontaneous metastasis mouse models have been established. here we describe the currently. Mouse Model Breast Cancer Metastasis.
From www.researchgate.net
Mouse model for breast cancer metastasis to brain and therapeutic Mouse Model Breast Cancer Metastasis various breast cancer spontaneous metastasis mouse models have been established. here we describe the currently employed mouse models of breast cancer. two common mouse models mimic breast cancer lung colonization and distal metastasis: emerging data have suggested that animal models are a good system to investigate this communication. here we give a progress report on. Mouse Model Breast Cancer Metastasis.